
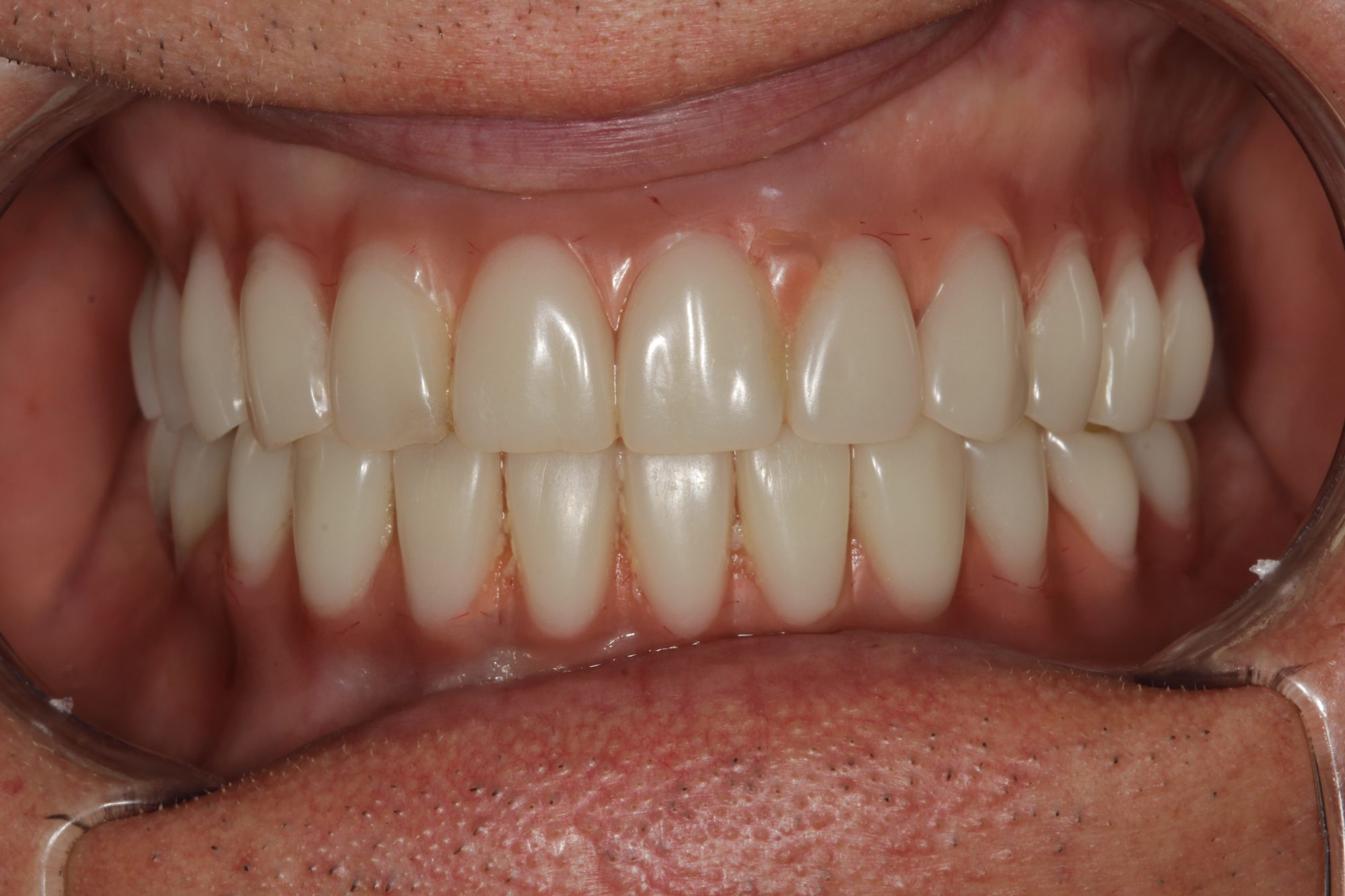
До
Кейс #3

Після
Імплантація на 4-х «Все включено»
$ 3 900
$ 2 299
₴ 0
Консультація
₴ 499
₴ 0
КТ-знімки
₴ 999
Економія
₴ 50 589
₴ 0
Видалення зубів
₴ 20 000
За новою усмішкою
— в стоматологічний центр Dr.Danich
Одеса
вул. Грецька, 31
ТЦ «Кокон»
Щодня з 10:00 до 20:00


Кейс #3
$ 2 299
$3 900
Економія ₴50 589
Імплантація на 4-х «Все включено»
₴ 0
Консультація
₴499
₴ 0
КТ-знімки
₴999
₴ 0
Анестезія
₴399
₴ 0
Видалення зубів
₴20 000
Акція до 1 грудня
За новою посмішкою — в стоматологічний центр
Dr.Danich
Одеса
вул. Грецька, 31, ТЦ "Кокон"
Щодня с 10:00 до 20:00